La patiente vient en consultation en 2015 pour effectuer le diagnostic d’une « tâche noire » visible lors de son sourire.
C’est une femme de 51 ans sans antécédent médical ni prise de médicament. La lésion pigmentée est apparue il y a un an et a évolué lentement. La patiente ne présente pas d’altération de l’état générale ni douleur en rapport avec cette lésion.

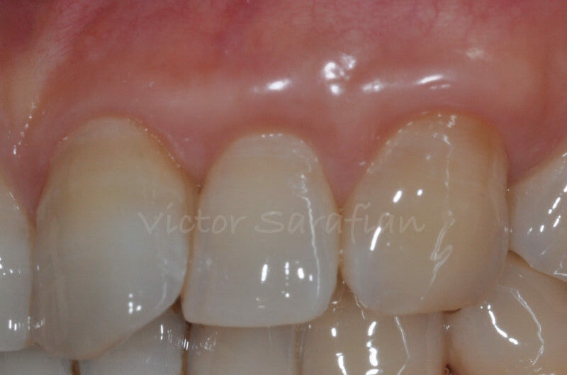
L’examen clinique révèle l’absence de symptomatologie hormis la coloration de la papille inter-dentaire #21-22.
Examen exo-buccal : pas de ganglion palpable, ligne du sourire moyenne (Classe 3, Liebart 2004).
Examen endo-buccal : absence d’inflammation (pas de saignement au sondage), pas de poche parodontale, papule pigmentée lenticulaire de 4mm localisée au sommet de la papille distale de #21 et ne disparaissant pas à la pression.
Examen radiographique : présence des septum interdentaire.

Les lésions pigmentées sont dues à la présence en quantité anormale de pigments mélanique, hématiques ou d’origine exogène (Fricain 2017).
Devant toute lésion pigmentée isolée d’allure mélanique de la muqueuse buccale, le diagnostic différentiel avec un mélanome buccal doit être réalisé. Les critères diagnostiques ABCDE (Asymétrie, Bords irréguliers, Couleur foncée, Diamètre supérieur à 6 mm, Évolution) proposés pour les mélanomes cutanés, peuvent aussi constituer une aide pour le diagnostic des mélanomes buccaux (Auluck 2008).
Après consultation de dermatologie l’exérèse de cette lésion est décidée. Les objectifs sont doubles : anatomopathologique (biopsie) et esthétique (visibilité lors du sourire).
Le choix de la technique est dans ce cas primordial afin de ne pas perdre la papille interdentaire qui remplie pleinement l’espace interdentaire visible au sourire. La décision s’est portée sur la création d’une récession artificielle sur #22 (Classe 1, Miller et col. 1985) et la réalisation d’un lambeau positionné coronairement et rotation des papilles (Zucchelli et col. 2000).
L’intérêt d’un lambeau positionné coronairement est d’obtenir un tracé d’incision qui permettra lors de la désépithélialisation des papilles de biopsier la lésion.

La thérapeutique initiale est réalisée lors d’une séance préalable. La phase chirurgicale consiste, après anesthésie locale, en la réalisation d’un lambeau sans décharge de #21 à 23. La hauteur de la lésion sera reportée à partir de la gencive marginale du collet de #22 en direction apicale. Cela délimitera la hauteur de la récession artificielle devant être créée. La collerette gingivale est ensuite éliminée par gingivectomie à biseau interne. À la différence du traitement des récessions gingivale ordinaire, la surface radiculaire ainsi exposée ne sera pas surfacée afin de préserver les fibres de l’attache épithelio-conjonctive.
Le tracé d’incision est ensuite celui du lambeau positionné coronairement et rotation des papille. Incision dans le nouveau « sulcus » crée sur la #22 puis la hauteur de cette récession artificielle (+ 1 mm) est reportée du sommet de la papille en direction apicale de part et d’autre de la dent puis l’incision se dirige vers la gencive marginale des dents adjacentes #21 et 23.
La dissection et la chirurgie sont ensuite réalisées selon la technique telle que décrite par Zucchelli et col. 2000.

Intervient alors l’étape de désépithélialisation des papilles permettant la biopsie complète en marge saine de la lésion pigmentée qui sera envoyée pour être analysée.
Au lambeau positionné coronairement sera adjoint un greffon conjonctif enfoui en regard de la récession artificielle afin de « booster » le biotype gingival (augmenter la hauteur et l’épaisseur du tissu kératinisé) et la stabilité des résultat au long terme (Chambrone 2006). Il sera prélevé au palais selon la technique de Bruno décrite en 1994. Puis le site donneur sera suturé (Borghetti et col. 2000).

Le greffon sera inséré et stabilisé sous le lambeau (un point mésial et un point distal). Les points de contacts sont au préalable collés entres eux au moyen de composite fluide, puis les papilles chirurgicales sont suturées aux papilles anatomiques au moyen de sutures verticales à doubles points croisés qui permettent à la fois de positionner coronairement le lambeau mais également de le plaquer aux surfaces dentaires de manière « hermétique » (Zuhr 2009).

La patiente repart avec une gouttière de protection palatine qu’elle n’enlèvera qu’après les premières 24h (elle permet une légère compression du site et favorise alors la stabilité du caillot sanguin sous le lambeau garant d’une cicatrisation optimale). Son utilisation se fera ensuite selon ses besoins (c’est à dire le plus souvent lors des repas afin de ne pas traumatiser le site de prélèvement). Des conseils post opératoire et une prescription médicamenteuse sont également transmis à la patiente. La dépose des points se fera après 15 jours (Borghetti et col. 2008).
Le résultat anatomopathologique confirme l’absence de malignité et conclue en une lésion inflammatoire chronique associée à une prolifération de mélanine dans l’épithélium. Le diagnostic étant une papule pigmentée essentielle lenticulaire de la gencive.

Le résultat à 1 mois montre une cicatrisation avec un recouvrement complet mais un défaut de volume vestibulaire de la papille mésiale de #22. Son volume sera entièrement récupéré après maturation tissulaire à 3 mois et reste stable dans le temps avec la présence d’une papille gingivale qui remplie toujours complètement l’espace interdentaire à 56 mois post opératoire.
Le Pink Esthetic Score entre la situation initiale et actuelle est amélioré puisque la couleur est désormais identique aux dents adjacentes (Fürhauser et col. 2005), et l’on note également un volume (épaisseur gingivale) augmenté (garant de cette stabilité du résultat au long terme).
La patiente est satisfaite de l’esthétique de son sourire retrouvé.

- Liebart MF, Fouque-Deruelle C, Santini A, Dilier FL, Monnet-Corti ,. Glise JM, Borghetti A. Smile line and periodontum visibility. Periodont pract today, 2004 ; 1 : 17-25.
- Fricain JC, Sibaud V. Pigmentations of the oral cavity. Presse Med 2017 Mar ; 46 (3) : 303-319.
- Auluck A, Zhang L, Desai R, Rosin MP. Primary malignant melanoma of maxillary gingiva-a case report and review of the literature. J Can Assoc, 2008 May ; 74 (4) : 367-71.
- Miller PD. A classification of marginal tissue recession. Int J Periodont Rest Dent 1985 ; 5 (2) : 9-13.
- Zucchelli G, De SanctisM. Treatment of multiple recession-type defects in patients with esthetic demands. J Periodontol 2000 ; 71 (9) : 1506-1514.
- Chambrone LA, Chambrone L. Subepithelial connective tissue grafts in the treatment of multiple reccesion-type defects. J Periodontol, 2006; 77(5): 909-916.
- Bruno JF. Connective tissue graft technique assuring wide root coverage. Int J Periodontics Restorative Dent 1994 Apr ; 14 (2) : 126-37.
- Borghetti A, Monnet-Corti V. Chirurgie plastique parodontale. JPIO 2000.
- Zuhr O, Rebele SF, Thalmair T, Fickl S, Hürzeler MB. A modified suture technique for plastic periodontal and implant surgery–the double-crossed suture. Eur J Esthet Dent 2009 ; 4 (4) : 338-47.
- Borghetti A, Monnet-Corti V. La greffe de conjonctif enfoui : indications et prélèvement. Chirurgie plastique parodontale – 2ème édition. JPIO 2008 ; 10 : 161-175.
- Fürhauser R, Florescu D, Benesch T, Haas R, Mailath G, Watzek G. Evaluation of soft tissue around single-tooth implant crowns : the pink esthetic score. Clin Oral Implant Res 2005 Dec ; 16 (6) : 639-44.